医疗资讯
微创通“堵点” 巧手再“架桥”——齐齐哈尔市第一医院北院神经外一科成熟开展大脑中动脉球囊扩张支架成形术
大脑中动脉(MCA)承担着大脑半球70%的血流供应,堪称“生命主干道”。这跟血管一旦发生狭窄或闭塞,血流便会瞬间中断,极易引发短暂性脑缺血(TIA),让患者出现肢体麻木、言语不利等症状,还随时可能引发急性脑梗死,对患者生命安全及肢体活动、神经功能构成威胁。3月初,齐齐哈尔市第一医院北院神经外一科便迎来了这样一位高危患者——右侧大脑中动脉重度狭窄、左侧大脑中动脉亦存在狭窄病变。科室医疗团队凭借精湛的医疗技术、精准的手术操作,顺利为患者实施右侧大脑中动脉球囊扩张支架成形术,成功为其解除了颅内血管的致命危机。
62岁的陈女士在就诊五天前,出现间断性头晕、头痛症状。经当地医院检查后,提示“双侧大脑中动脉重度狭窄近闭塞”,但却未能及时干预病情。回忆起发病时的感受,她仍心有余悸:头痛发作时,头颅如同要炸裂一般,还伴有剧烈呕吐症状,每次发作后都大汗淋漓,整个人虚弱得无法动弹。
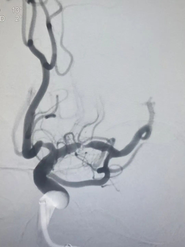
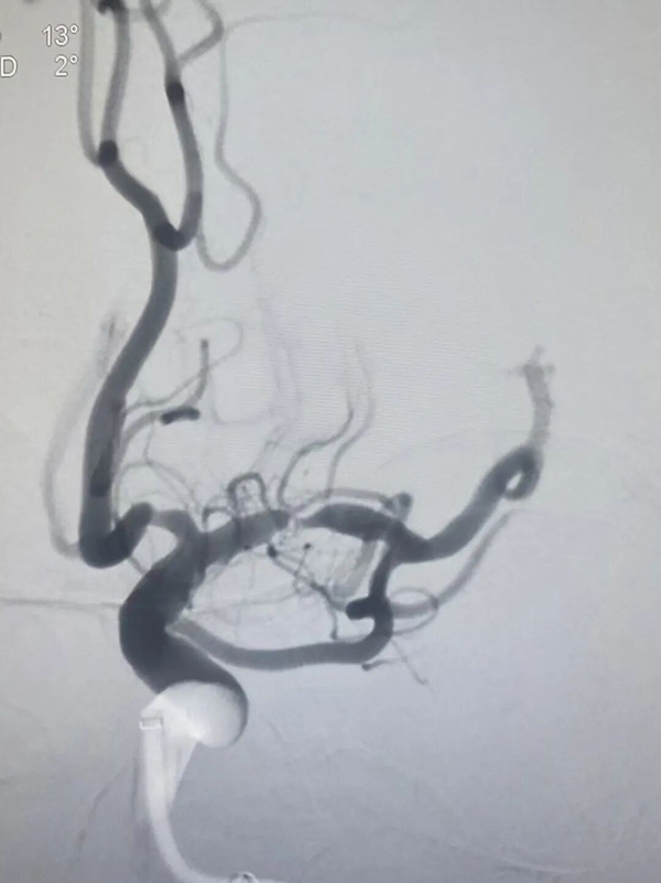
北院神经外一科副主任医师王伟君接诊后,第一时间为陈女士完善头部CT检查,结果提示“脑沟内可见血管高密度症”,病情已迫在眉睫。王伟君当机立断,先为患者实施了全脑血管造影检查。造影结果清晰显示,患者双侧大脑中动脉均存在狭窄病变,其中右侧大脑中动脉M1段重度狭窄、管腔近乎闭塞,血流淤滞严重,这正是引发急性脑梗死的“责任血管”,已达到紧急干预指征。

此次右侧大脑中动脉球囊扩张支架成形术难度极高、挑战严峻:一方面,颅内生理空间狭窄,解剖结构错综复杂;加之右侧大脑中动脉M1段重度狭窄区域,紧邻关键神经与重要血管,术中可操作空间极其有限,术者每一步操作都需做到极致精准,稍有偏差便可能引发血管破裂、血栓脱落等致命并发症。另一方面,患者同时合并左侧大脑动脉狭窄,病情呈双侧受累特点,需统筹兼顾两侧病变,科学规划术区布局,为后续治疗预留充足操作空间,对术者的专业技术、临场心态与手术耐力均是极大的考验。

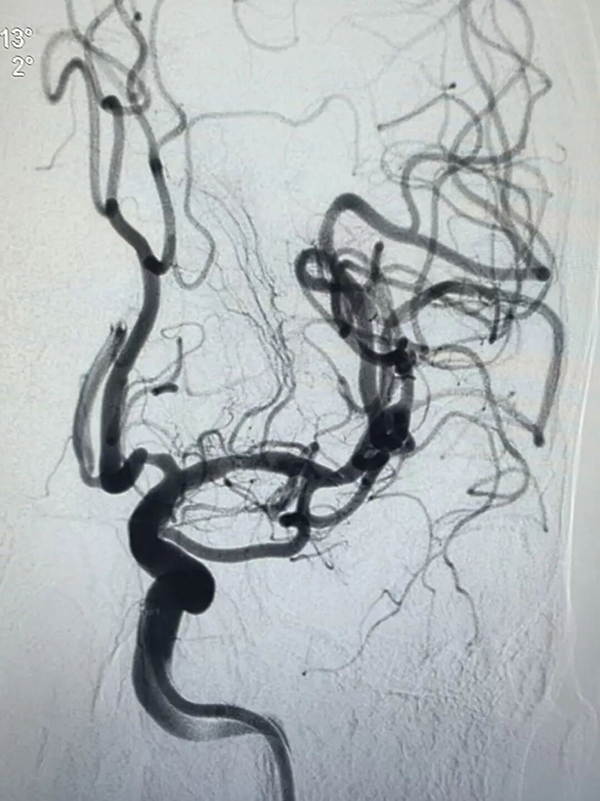
术中,手术团队精准操控微球囊导管,顺利穿越狭窄病变区域,缓慢充盈扩张球囊,逐步疏通闭塞血管管腔;随后精准植入支架,牢固贴合支撑血管壁,顺利疏通血管“堵点”,为脑部血流畅通搭建起稳固高效的生命通道。手术全程,医护人员全程严密监测患者生命体征与脑组织灌注状态,每一项操作均精准规范、稳妥推进。
尤为值得一提的是,手术团队在传统术式基础上创新采用“零交换”技术,一站式完成球囊预扩张、支架释放与球囊后扩张全流程操作,相较传统术式大幅减少十余次器械交替更换步骤,有效缩短透视时长、降低造影剂用量、压缩整体手术时间,在最大程度规避术中风险的同时,显著提升手术安全性与临床治疗成效。



近年来,第一医院北院神经外一科始终聚焦脑血管疾病的精准诊疗,深耕神经介入微创技术领域,以“微创化、精准化、安全化”为目标,不断攻克高难度脑血管病变的治疗难题。未来,科室团队将继续秉持聚力攻坚精神,以更精湛的医术守护每一位患者的颅脑健康,为区域百姓生命福祉筑牢坚固屏障。

医疗团队

刘建勇
北院神经外一科主任
主任医师
从事临床医疗工作30年。擅长脑膜瘤、胶质瘤、听神经瘤、颅内动脉瘤、脑血管畸形、海绵状血管瘤等疾病的手术治疗,可成熟开展椎管内脊膜瘤、神经鞘瘤以及对三叉神经痛、面肌痉挛微血管减压手术,尤其对垂体瘤的微创手术治疗有独到见解。曾独立率先开展单鼻孔经蝶垂体瘤切除术,填补了黑龙江省西北部地区该治疗领域的空白,至今已完成此类手术近600余例。
出诊时间:
北院周一
南院周二、周三、周五

康凯
副主任
硕士研究生 副主任医师
第一医院青年骨干人才,从事临床医疗工作18年。对神经外科常见病、多发病及危急重症的救治工作有丰富经验,擅长脑出血、颅脑损伤等各种脑外科手术以及脑血管病、脑出血、脑肿瘤、脊髓肿瘤等四级微创手术,尤其是前循环动脉瘤夹闭术、视神经减压术、三叉神经微血管减压术等疑难手术,尤其擅长脊髓肿瘤切除术、神经内镜下行鼻蝶入路垂体瘤切除术/双镜联合手术、内镜下视神经减压术、脑肿瘤(脑膜瘤、胶质瘤)切除等微创手术治疗。
出诊时间:
北院周二

曲艺
硕士研究生 主任医师
从事临床医疗工作20年。曾赴哈尔滨医科大学附属第二医院进修学习神经外科专业,擅长脑出血、脑外伤、脑血管病等神经外科疾病的急诊急救,在神经外科脑血管病治疗方面经验丰富,可独立完成脑外伤开颅微创手术治疗及急性脑血管手术治疗。
出诊时间:
北院周三

王伟君
硕士研究生 副主任医师
第一医院第二批青年骨干人才第一名,从事临床医疗工作17年。擅长脑血管病微创介入治疗及脊髓脊柱肿瘤性疾病的治疗,尤其在脑动脉瘤栓塞术、脑动脉支架术、脑动脉取栓术、急慢性脑血管闭塞开通术、脑血管畸形栓塞术、脊髓硬膜内外肿瘤切除术等手术治疗方面经验颇丰。脑动脉取栓术开通率高达99%,率先开展的硬脑膜动脉栓塞治疗慢性硬膜下血肿、颈动脉内膜剥脱术治疗颈动脉狭窄、血流导向装置密网支架置入术治疗脑动脉瘤,填补了齐市神经外科领域多项技术空白。
出诊时间:
北院周三

朱健
硕士研究生 副主任医师
从事临床医疗工作17年。曾赴北京宣武医院进修脊柱神经外科专业,在脊髓肿瘤切除、脊髓硬膜内外肿瘤切除等手术及介入治疗方面经验颇丰,尤其在急慢性脑血管病的诊治方面有独到见解;可成熟开展神经内镜下行鼻蝶入路垂体瘤切除术、内镜下视神经减压术、脑肿瘤(脑膜瘤、胶质瘤)切除等手术治疗。
出诊时间:
北院周三

梁作彬
硕士研究生 副主任医师
第一医院青年骨干人才,从事临床医疗工作17年。擅长脑血管疾病的微创介入治疗及脊髓脊柱肿瘤性疾病的治疗,可独立开展脑动脉瘤栓塞术、脑动脉支架术、脑动脉取栓术、急慢性脑血管闭塞开通术、脑血管畸形栓塞术、脊髓硬膜内外肿瘤切除术等。
出诊时间:
北院周四

刘志刚
副主任医师
从事临床医疗工作17年。在神经外科重症诊疗方面具有丰富经验,擅长脑膜瘤、胶质瘤、垂体瘤、脊膜瘤等神经肿瘤的诊治,尤其是脑出血以及动脉瘤、血管畸形、大面积脑梗死等脑血管疾病的救治,可独立开展脑出血、脑外伤等神经外科手术。
出诊时间:
北院周四

牛佳义
主治医师
从事临床医疗工作10年。擅长脑血管病、脑外伤、脑出血等疾病的临床诊断及治疗,熟练掌握脑出血的微创治疗。
出诊时间:
北院周六

祖泊智
主治医师
从事临床医疗工作9年。擅长脑血管病、脑出血、脑外伤等神经外科疾病的诊断及治疗,熟练掌握脑出血、脑外伤的微创手术治疗。

贾天一
主治医师
从事临床医疗工作8年。擅长脑血管病、脑外伤、脑出血等疾病的诊断及治疗,熟练掌握脑出血、脑外伤急诊急救的手术治疗。
出诊时间:
北院周五

郭晗
主治医师
从事临床医疗工作6年。擅长脑外伤、脑出血、颅内动脉瘤等神经外科常见疾病的治疗,熟练掌握脑出血、脑外伤等微创手术治疗。
出诊时间:
北院周五
科室咨询电话:0452-2459457






