医疗资讯
毫米级操作 巧除骶前肿物——齐齐哈尔市第一医院北院肛肠科成功完成一例骶前囊肿根治性切除术
骶前囊肿是肛肠外科领域隐匿性极强的少见疾病,因其位置深、周围解剖结构复杂、神经及血运丰富,常面临误诊误治率高、术后复发率高的困境。近日,齐齐哈尔市第一医院北院肛肠科成功完成一例骶前囊肿根治性切除术,彻底切除了囊肿及囊壁,避免了患者疾病复发的隐患。
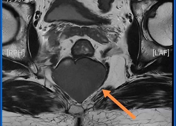
60岁的王先生5个月前行腹部CT检查时发现骶尾骨与直肠之间有一囊性肿物,但并未重视。几个月后,他逐渐出现持续性的臀部胀痛,站着疼、坐着疼、躺着也疼,更让他苦不堪言的是排便困难日益加重,最严重时可长达一周无排便。复查磁共振显示,骶前占位较前明显增大,达到5cm×5cm大小。
由于囊肿位于骶骨前方,前方和上方毗邻直肠、肛管等重要脏器,下极超过尾骨尖,若直接从肛门附近切入,虽然距离囊肿距离近,但容易造成感染甚至损伤肛门功能。北院肛肠科姜秀峰主任团队从手术安全性、彻底切除率以及术后恢复等多方面综合考量,最终决定采取尾骨旁小切口入路。这种入路既能够有效避开主要脏器与血管,减少切口污染风险,又能通过精准解剖,保证手术视野清晰。

手术过程中,挑战接踵而至。肿物与尾骨粘连紧密,为实现囊肿的完整剥离,手术团队精准咬除了部分尾骨;肿物前端又紧邻直肠后壁,直肠壁薄如蝉翼,若操作不慎造成破裂,极易引发严重感染,甚至可能需行暂时性结肠造口(人工肛门)。面对深而窄的操作空间,手术团队以毫米级精度成功将肿瘤精细剥离,全程保证直肠壁完整无损。整台手术流程流畅,术中失血极少,耗时约1.5小时。

术后,科室在开展常规抗感染、换药等基础护理的同时,充分发挥中西医结合诊疗优势,针对患者气血亏虚、经络不畅的证候,给予中药内服、熏洗配合物理治疗的综合干预方案,全力促进术后康复。目前,患者已康复出院。
骶前囊肿手术作为肛肠外科难度极高、操作复杂的四级手术,对术者技巧提出了严苛考验——手术中稍有不慎,便可能损伤肛门括约肌、重要血管及神经等关键组织,引发肛门失禁、大出血等严重并发症。此次手术的成功实施,充分彰显了北院肛肠科医疗团队的过硬综合诊疗实力。
据悉,北院肛肠科目前可独立开展多项高难度及常规手术:包括结直肠癌根治术、腹腔镜下结直肠癌根治术、腹腔镜下胃肠道间质瘤手术等肠道肿瘤相关手术;复杂肛瘘、肛周脓肿根治术、混合痔、肛周瘙痒、肛裂等肛周疾病的微创治疗;藏毛窦转移皮瓣修复、骶前肿瘤切除、直肠阴道瘘修补、会阴陈旧性撕裂伤修复等复杂疑难手术,同时还能为便秘患者提供综合治疗方案。此外,科室积极运用加速康复外科(ERAS)理念,结合中西医结合治疗模式,力求实现患者术后疼痛最小化,甚至达到无痛康复状态。

延伸阅读
骶前囊肿是位于骶尾骨与直肠之间的囊性或囊实性肿块,与骶尾骨筋膜、直肠及肛门括约肌等盆底组织关系密切,病理分型分为良性和恶性两大类型。
专家提醒:一旦发现骶尾部肿物,要尽早就医评估,明确性质。早期发现、早期干预,不仅能显著降低手术难度,更能有效规避如直肠损伤、感染等严重并发症风险,避免复杂手术(如被迫的结肠造口)带来的额外痛苦。
医疗团队

姜秀峰
北院肛肠科主任
医学博士 主任医师
毕业于哈尔滨医科大学结直肠肛门外科专业,从事临床医疗工作21年。擅长结直肠癌规范化治疗、腹腔镜下结直肠癌微创手术、经肛微创(TAMIS)手术治疗,达芬奇机器人辅助下直肠癌微创手术、便秘等疾病的诊断及治疗,可成熟开展腹腔镜直肠癌微创手术、直肠脱垂、直肠前突、肛周脓肿、藏毛窦、痔疮、肛裂、肛瘘、直肠阴道瘘、会阴撕裂、肛门失禁、骶前囊肿及肿瘤等疾病的微创治疗技术。2023年在全省率先开展经肛门微创手术(TAMIS)切除直肠腺瘤,2024年在全市率先开展经会阴入路直肠阴道瘘修补术+括约肌修复术+肛门成形术。
出诊时间:
北院周一、周五全天
周二、周三上午

王端平
副主任
硕士研究生 副主任医师
毕业于哈尔滨医科大学外科学专业,从事临床医疗工作10年。曾前往国内肛肠中心中山大学附属第六医院肛肠科进修学习。擅长高位肛瘘、复杂性肛瘘、高位肛周脓肿、直肠阴道瘘等肛肠疾病的临床诊断及治疗,可成熟开展直肠脱垂、直肠前突、肛周脓肿、藏毛窦、骶尾部脓肿、痔疮、肛裂、肛瘘、会阴裂伤、肛门失禁、骶前肿瘤等疾病的微创手术治疗,尤其在肛周湿疹、肠炎、便秘、肛门瘙痒症等疾病的综合治疗上经验颇丰。
出诊时间:
北院周二下午

徐海波
主治医师
从事临床医疗工作16年,擅长急腹症、肠炎、结直肠肿瘤、肛周疾病的诊疗,可熟练掌握痔疮、肛裂、肛瘘、肛周脓肿、肛周占位等疾病的手术治疗。
出诊时间:
北院周三下午

郑春旸
主治医师
从事临床医疗工作9年,擅长肛周脓肿、高位肛瘘、复杂性肛瘘、肛周瘙痒、肠炎、便秘、混合痔、肛裂等肛肠疾病的临床诊断及治疗,可熟练掌握痔、肛裂、肛周脓肿、高位肛瘘、复杂性肛瘘等手术微创治疗。

孙楠
硕士研究生 住院医师
毕业于哈尔滨医科大学,从事临床工作3年。擅长急诊急救、急腹症、急慢性肠炎、结直肠肿瘤、肛周疾病的诊断与治疗,尤其是混合痔、肛裂、肛瘘、肛周脓肿、肛门狭窄、藏毛窦、肛周占位及直肠异物等常见疾病的诊治,熟练掌握消化道溃疡穿孔、结直肠肿瘤、急慢性阑尾炎等常见疾病手术治疗技术。

侯诒明
住院医师
从事临床医疗工作6年。擅长急诊急救、急腹症、急慢性肠炎、结直肠肿瘤、肛周疾病的诊断与治疗,尤其是混合痔、肛裂、肛瘘、肛周脓肿、肛门狭窄、藏毛窦、肛周占位及直肠异物等常见疾病的诊治,熟练掌握消化道溃疡穿孔、结直肠肿瘤、急慢性阑尾炎等常见疾病手术治疗技术。
出诊时间:
北院周四下午
科室咨询电话:
0452-2459403(病房)
0452-2459304(门诊)






